咬合正常但是有点戽斗?是牙齿问题还是颧骨问题?需要磨骨还是正畸?

发表于 2019-12-05 10:41 来源:评美帮 发布者:bfjjcg 浏览:3050
变美专家助理微信号:wuyoubianmei。咬合正常但是有点戽斗?是牙齿问题还是颧骨问题?需要磨骨还是正畸?大多数的戽斗都会伴随咬合不正,常被采用治疗的方式是正颚手术搭配牙齿矫正,可以同时改善脸型以及咬合的问题。但是偶而也会见到轻微的戽斗案例,咬合没有问题,只希望下巴可以不要看起来太长。
咬合正常但是有点戽斗?是牙齿问题还是颧骨问题?需要磨骨还是正畸?
大多数的戽斗都会伴随咬合不正,常被采用治疗的方式是正颚手术搭配牙齿矫正,可以同时改善脸型以及咬合的问题。但是偶而也会见到轻微的戽斗案例,咬合没有问题,只希望下巴可以不要看起来太长。治疗的方式,利用正颚手术将下颚后退仍然是最效果最好的方式;同时因为不希望咬合改变,所以上颚也必须配合下颚一起改变位置。但是手术后可以完全不需牙齿矫正,或是仅需短期的矫正治疗。
咬合正常但是有点戽斗?是牙齿问题还是颧骨问题?需要磨骨还是正畸?
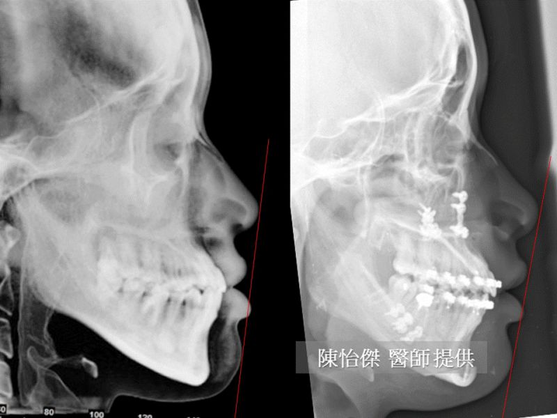
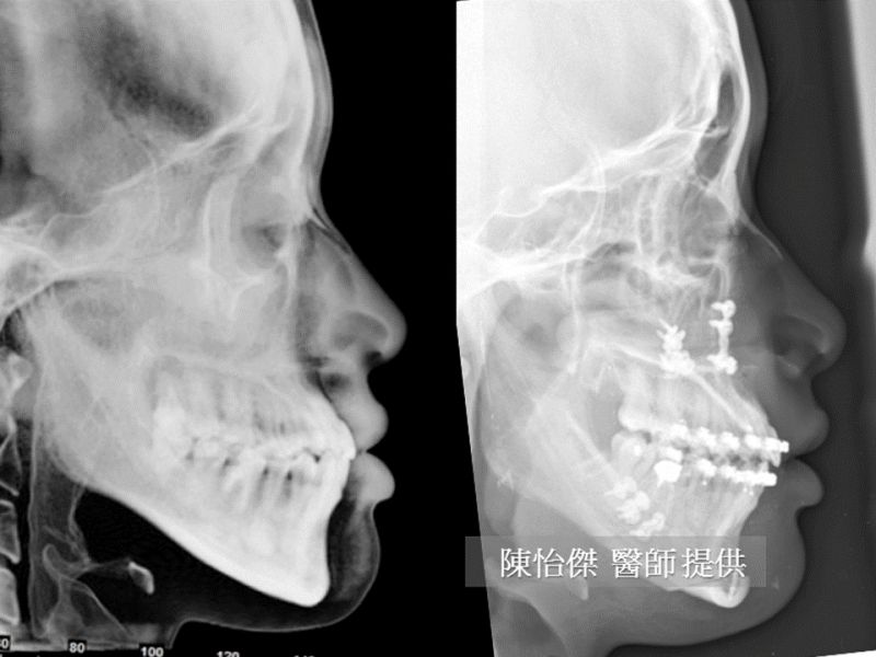
上图左边是治疗之前,从侧面看有轻微戽斗,下巴较突出,但是咬合正常。右图是手术后一周的情况,虽然还在肿胀的阶段,但是仍然可以看出脸型的变化,以及上下唇变得比较自然饱满的感觉。
咬合正常但是有点戽斗?是牙齿问题还是颧骨问题?需要磨骨还是正畸?
如果从鼻尖到下巴最前端画一条直线当作参考线,就可以更清楚地看到上下唇相对位置的改变。虽然只差了一点点,但是在外观上却可以带来明显的改变。
扫一扫关注
0 顶一下

对不起,您所在的会员组没有评论权限,请先登录或者注册
网友评论

这一刻...

欢迎访问评美帮整形美容中心点评网,我们立志做最真实的的整形美容咨询机构评测分享社区,深入分析,拒绝软文,告诉你每一个整形美容机构究竟怎么样,适合什么年龄的你,一起来点评整形美容中心点评网吧!
免费声明:评美帮整形美容中心点评网内容仅供读者参考,不能作为诊断及治疗的依据,本站将不承担由此引起的法律责任。本站案例/图片来源于网友分享,无法考证图片版权来历,如侵权请权利人联系评美帮整形美容中心点评网删除。
Copyright ?评美帮网 2015 - 2025 Powered By 60394.com