西安画美医疗美容医院-老鼠牙是什么牙?能矫正吗?
听过老鼠,你听过老鼠牙吗?老鼠牙是什么?需要矫正吗?
老鼠牙是牙本质发育不全,是一种牙本质发育异常的常染色体显性遗传疾病,可以在一个家族中连续几代出现,男女都可以出现。
患上这种病后,牙齿变化主要表现在牙本质,而牙釉质基本正常。孩子的乳牙、恒牙都可能受到侵犯,而乳牙病损更为严重。

老鼠牙的症状是什么?
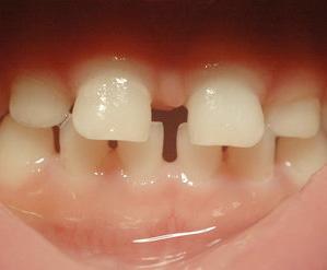
老鼠牙又称过小牙,它多发生在侧切牙,与遗传因素有关。其形态多为锥形,且明显小于正常的侧切牙,老鼠牙是牙齿畸形的一种,虽然不是病,老鼠牙的危害还是非常巨大的。

老鼠牙有哪些危害?
1、影响个人容貌
老鼠牙会严重影响一个人的容貌、气质。不仅对唇型、脸型会产生影响,而且患者常因为牙齿不齐而表现不自信,不敢笑,说话也遮掩。
2、致牙齿疾病
老鼠牙造成牙面凹凸不平、牙与牙之间的不良接触关系,形成了不易清洁区,很容易滞留牙菌斑、食物残渣。从而导致牙龈炎、牙结石、牙面色素沉着、口臭、龋坏等口腔疾病。

老鼠牙怎么矫正?
目前矫正老鼠牙的很好方式就是美齿冠。它不仅对老鼠牙有很好的疗效,对老虎牙、龅牙、地包天等牙畸形同样具有很好的疗效。
美容冠作为一种目前的新兴牙齿美容方法。它采用了全新科技的数码定位技术、技术等国际先进齿科技术及理念,具有美牙不拔牙、苦、时间短、牙齿坚固、多年后牙齿不出现黑线等优点。

美容冠,效果更好,它可以结合脸型、肤色设计美牙方案,矫正后牙齿坚固、美观大方。如果你有老鼠牙的困扰,不妨试试美容冠来矫正治疗。推荐大家可以前往西安画美口腔科让口腔专家检查,制定适合自己的矫正方案。它位于国家4A级景区大明宫国家遗址公园东门斜对面(西安市新城区太华南路433号),或者直接拨打电话17391917556详细咨询。
