西安画美医疗美容医院-舌侧矫正会反弹吗
三分天注定,七分靠打拼,还有九十分看脸!想要颜值高,只能去“整——容”?NO!NO!NO!可别误会啦!就算是女神们,都只是“整——牙”了而已~
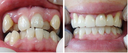
说起整牙,你们是不是就想起来铜牙铁齿呢?先别拒绝啊,如果我说有一种能把钢丝隐藏起来的矫正技术呢?请记住这个名字——舌侧隐形矫正。

舌侧隐形矫正是什么?
将矫治器托槽全部安装于牙齿的舌侧面,外观上看不到托槽等牙齿矫正治疗装置,因此也属于隐形矫正的一种。

舌侧隐形矫正四大优势
1、个性化托槽
通过先进数字辅助设计、制作及成像技术,量身定制符合个人牙齿特点的托槽,并能模拟出矫正后的预期效果。
2、隐形矫治器
舌侧正畸的矫治器全部安装于牙齿的舌侧面进行正畸治疗,完全看不见托槽钢丝,可以完全隐形,让牙齿悄然蝶变。

3、高难度
不手术,通过舌侧矫正的方式解决传统矫正方法无法治疗的高难度案例,是求医无门的高难度矫牙患者的福音。
4、不损伤牙面
舌侧矫正技术将精巧光滑的托槽安装在牙齿内侧,故对牙釉质无损伤,不会造成因长期佩戴而极易出现的牙龈炎、牙齿脱矿、变色等问题。
舌侧矫正后会反弹吗?
不会。在矫正过程中,医生会根据患者牙齿排列的具体情况,采取一些预防措施,如:对严重扭转的牙齿,进行过度矫治,可以预防牙颌畸形的复发;此外,正畸结束后,一般都需要佩戴矫治器,稳固正畸效果;当然,这对于牙齿矫正全过程来说,只是完成了一半进程,要想矫正不发生反弹,接下来一定要戴保持器,保持器是牙齿矫正不发生反弹的关键。

然而,这么棒棒哒技术可不是哪里都能做哦~
因为舌侧矫治技术因为托槽要安在牙齿内侧,对医师操作的要求较高,因此仅有极少数的口腔机构能够开展。
西安画美医疗美容医院口腔科有口腔专家坐诊,现在,无论你是龅牙、地包天、虎牙、深覆盖、牙齿不齐、牙齿拥挤、牙齿稀疏等等,甚至是高难度矫牙症状,都能通过舌侧隐形矫正技术解决哦!它位于国家4A级景区大明宫国家遗址公园东门斜对面(西安市新城区太华南路433号),或者直接拨打电话17391917556详细咨询。
