西安画美医疗美容医院-西安冷光美白多少钱

home、伊人 · 2018-07-10 14:56 · 点击 540
  西安画美医疗美容医院-西安冷光美白多少钱

  

  你永远不懂一口白牙有多重要,小编早上上班途中(当然是挤公交),无意间听到两妹子在聊天,其中一妹子就说,她喜欢一个小哥哥,鼓起勇气表白。小哥哥拒绝人的理由也是绝了“因为妹子牙黄?说自己不喜欢抽烟的”。尽管妹子反复强调自己不抽烟,但是的确牙黄呀。上班就当段子说给同事听,同事来了句,他哥们更绝,剩男一个,跑去相亲结果失败了。回来询问,哥们来了句“漂亮是漂亮,就是牙太黄”这个梗小编表示这一周内过不去……

  引起牙齿发黄的原因很多:例如食物、药物或者水质、卫生习惯、吸烟等

  

  大明星章子怡不小心也中招了

  画美医疗美容集团是一家运营、管理高端医疗美容医院、为顾客提供一站式医疗美容服务的连锁集团,西安画美医疗美容医院是画美医疗美容集团在西北地区开设的旗舰店。

  

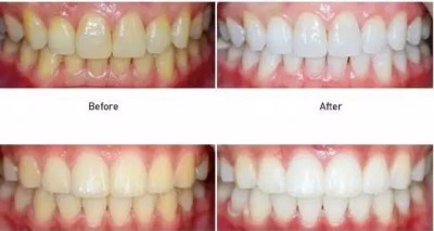
  冷光美白是目前市面上流行的最新牙齿美白技术,它不仅可以去除牙齿表面的色素沉积,同时可以进入牙齿深层达到脱色的效果。操作时间短、无副作用,美白效果可以维持两年以上。但是,切记别相信一次就可以这种鬼话,正规的医院是不会这样对顾客说的,冷光美白一般都得2-3次效果才能绝佳。因此,一定要选择正规的医院或者直接去西安画美医疗美容医院。如果你有任何牙齿上的问题,也可以去西安画美医疗美容医院向专业的医生咨询。

  

  注意事项:

  术前准备:

  1、治疗前应保持口腔清洁

  2、若有口腔炎症需先治疗炎症方可进行美白治疗

  术后注意事项:

  1、治疗后24小时内避免冷热饮刺激,并建议食用白色或无色食物

  2、治疗后一周内不宜食用咖啡、可乐等易着色食物

  3、保持口腔清洁

  4、定期检查牙齿和洁牙

  禁忌人群:年龄在16岁以下人士、孕妇与严重的牙周病患者都不适合冷光美白。

  西安画美医疗美容医院位于国家4A级景区大明宫国家遗址公园东门斜对面(西安市新城区太华南路433号),拥有业界罕见的20000平方米五星酒店式营业空间,下设美容整形科、美容皮肤科、美容无创科、美容中医科、美容口腔科五大科室。

  

回复一条

只有圈子成员才能发言,请先加入圈子。
" href="/group-topic-id-5608.html">西安画美医疗美容医院-进口瘦脸针和国产的区别是什么
  • 西安画美医疗美容医院-西安哪里打瘦脸针好
  • 西安画美医疗美容医院-冷光美白痛吗
  • 西安画美医疗美容医院-激光去胡子要多少钱
  • 西安画美医疗美容医院-西安拉皮除皱多少钱
  • 西安画美医疗美容医院-面部线雕可以保持多久
  • 西安画美医疗美容医院-去痘印有什么方法
  • 西安画美医疗美容医院-去雀斑激光多少钱
  • 西安画美医疗美容医院-去妊辰纹哪家医院好