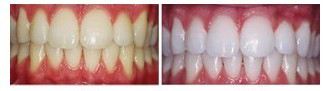
西安画美医疗美容医院-做完冷光美白后要注意什么?
小仙女们是不是也有这样的烦恼:每次看见别人的牙齿那么白,就好生羡慕,于是暗自发誓一定要把牙齿变白。在网上搜了一堆美白牙齿小偏方,估计高考都没这么认真过...但是效果总是不尽人意。其实呢,要美白牙齿的方法很简单,只需要做一个冷光美白就好了。

冷光美白是什么呢?
是将波长介于480-520纳米之间的高强度蓝光,将过氧化氢和直径为20纳米的二氧化硅等,为主体的美白剂,快速产生氧化还原作用,以此去除牙齿表面及深层附着的色素,从而达到美白的效果。
因为美白剂里含少量的弱酸,故有脱钙的作用。所以,接受冷光美白后的几天,牙齿会有不舒服的感觉,尤其是遇冷遇甜遇酸,几天后恢复正常。

适合人群:
1、外源性着色:日常饮食中带有色素的食物如:可乐、茶类、酱油等导致的牙齿着色。
2、内源性着色:轻中度的四环素牙、氟斑牙,或者其它因素引起的变色牙,遗传性黄黑齿等。
3、增龄性变色:随着年龄增长,牙齿会慢慢磨损,因此也会出现发黄的情况。
冷光美白效果能保持多久?
冷光美白的效果不是永久性的,保持时间的长短因个人的饮食习惯及牙齿结构而不同,一般能保持两年左右。

冷光美白牙齿后注意事项有哪些?
1、冷光美白牙齿后24小时内,为了避免牙齿再染上有色物质,不能让牙齿接触有色素的食品,无论人工色素还是天然色素。譬如常见的咖啡、汽水、可乐、蔬菜、茶叶、香烟等,可以进食牛奶,白稀饭、鸡蛋白、鱼肉等。
2、建议患者使用美白牙膏,可减轻冷光美白后食物的再着色。
3、平时饮食也应该尽量避免深色食物,注意口腔卫生,早中晚注意刷牙漱口,保持口腔清洁。
需要做冷光美白的小仙女可以去西安画美医疗美容医院口腔科,会有专业口腔医师根据实际情况制定适合你的美白方案,将效果达到最佳。它位于国家4A级景区大明宫国家遗址公园东门斜对面(西安市新城区太华南路433号),下设美容整形科、美容皮肤科、美容无创科、美容中医科、美容口腔科五大科室。
