西安画美医疗美容医院-冷光美白牙齿是否能改善牙齿暗黄
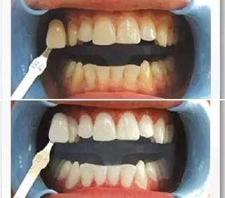
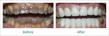
洁白整齐的牙齿是每一个人都想拥有的,但是牙齿暗黄是日常生活中普遍存在的问题,采用众多美白牙齿的方法进行改善,都没有什么效果。究竟有没有什么办法可以快速美白牙齿,又使它不受到伤害呢!

肯定很多人就会说:我可以选择做冷光美白啊。但是你真的了解冷光美白吗?
冷光美白是用过氧化氢和二氧化硅为主的美白剂,通过氧化还原的方式,经过特殊的光处理,通过牙本质小管,去除牙齿表面和深层的色素,从而达到牙齿美白的效果。
因为美白剂里含少量的弱酸,故有脱钙的作用。所以,接受冷光美白后的几天,牙齿会有不舒服的感觉,尤其是遇冷遇甜遇酸,几天后恢复正常。

冷光美白适合哪些牙齿呢?
1、四环素牙
在牙齿发育期间,特别是8岁以下儿童或孕妇,如果服用四环素类药物,则易引起牙齿变色,称为四环素染色牙。一般通过一次冷光牙齿美白治疗即可获得满意的效果。
2、牙釉质发育不全
牙齿在发育过程中,表层的釉质因缺乏钙、磷和维生素A、D等物质或受有害因子的作用而造成的牙齿发育障碍。轻者牙齿表面的釉质呈不透明的白垩色,疏松粗糙,可因食物染色而呈黄褐色。这样的牙齿也可以考虑冷光美白。

3、色素沉淀
一些有色食物包括茶、咖啡、酱油以及香烟等,时间久了,由于没有良好的清洁牙齿的习惯,这些色素会逐渐沉积甚至进入牙齿深层,使得牙齿的表面开始发黄、变黑。在美白技术中,以冷光美白效果最好。
4、氟斑牙
主要是因为饮用水中氟含量过高所致。轻度者牙齿表面的牙釉质浑浊不透明,呈白垩色;中度者牙面呈黄色或棕黄色不规则形斑块;重症者除有色泽改变外,还伴有牙面釉质缺损。冷光美白对于中轻度氟斑牙的美白效果极佳。

冷光美白的美白效果能保持多久?
保持时间的长短,因个人的饮食习惯及牙齿结构而不同,一般保持两年左右。
选择冷光美白牙齿的方法改善牙齿暗黄,快速,安全,绝不会伤害任何口腔组织。不过为了安全以及最终的效果,选择正规的医疗机构进行是非常有必要的。建议大家可以去西安画美口腔科,它位于国家4A级景区大明宫国家遗址公园东门斜对面(西安市新城区太华南路433号),或者直接拨打电话17391917556详细咨询。

西安画美医疗美容医院首届“画粉节”震撼来袭,感兴趣的小仙女可以了解一下。
『就说吧,你看上哪个了』2018西安画美整形首届“画粉节”重磅来袭,各位主儿们最心仪以上哪个礼品呢?活动时间:10月20日-22日
iphone xs max 512G太贵?超火口红色号抢不到?宅家没人陪你说话?想要光芒四射,无可取代?,现在只需要推荐5名西安本地女性好友即可参加2018西安首届“画粉节”活动,让画美医疗美容医院助主儿一臂之力拿到心仪礼品!
